Over time, all of your teeth are subjected to gradual darkening due to many factors: the foods you eat and drink, medications taken, and environmental factors. While this can be very frustrating, the team at James M. Blake D.D.S., PC is here to help. We offer a range of cosmetic dental services such as teeth whitening treatments to restore the appearance of your smile!
While there’s a range of teeth-whitening products on the market, none of them will be able to provide you with stunning and long-lasting results like deep bleaching can. It’s also important to note that many of the over-the-counter options can damage the integrity of your teeth, leading to tooth sensitivity. Luckily, deep bleaching treatments are a safe and effective solution for those wanting a whiter smile!
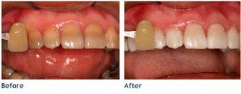
KÖR WHITENING DEEP BLEACHING
KöR Whitening Deep Bleaching is the newest, most revolutionary, and most effective teeth whitening system ever developed. Unlike typical teeth whitening procedures:
- KöR Whitening is so effective; it is the only recognized system in the world that will even whiten tetracycline (dark) stained teeth, previously thought to be impossible.
- With easy periodic at-home maintenance your teeth will stay white permanently, even while you continue to drink red wine, tea, coffee, etc.
- During the whitening process nearly, all patients experience only low to typically no teeth sensitivity.
- This procedure is comfortable and 100% safe for your teeth and gums. The result is a radiantly white, natural-looking smile that you will love! It’s perfect for everyone, from 14 to 90!
CONTACT US TO BOOK YOUR NEXT DENTAL SERVICE
If you're dealing with a yellowing smile, it might be time to look into deep bleaching. Our team has years of experience in providing quality and effective deep-bleaching dental services to residents across Blasdell, Cheektowaga, Eden, Hamburg, Lakeview, Orchard Park, Springville, NY and the surrounding communities. No matter the severity of the staining on your teeth, we have all the proper knowledge and tools to achieve a whiter and brighter-looking smile. If you’re interested in learning more, don’t waste another moment. Contact our office to book a consultation!






